Si bien se conoce que el tejido cerebral es susceptible a cambios bruscos en el organismo como la hipoxia, se trata de comprender los cambios que se producen en él en los trastornos neuropsiquiátricos, por ende, se desarrolló un estudio donde se compara la transcripción y características histológicas de muestras de tejido cerebral humano de cuatro personas fallecidas sin trastornos neurológicos con neocórtex fresco de dos personas obtenido tras el tratamiento quirúrgico de epilepsia.
Se sabe que es limitado el estudio en el tejido cerebral cuando es extraído de su entorno, ya que por la ausencia de oxígeno y circulación sanguínea se presenta la muerte neuronal, sin embargo los investigadores que llevaron a cabo este proyecto mantienen las condiciones adecuadas para obtener resultados fiables, y es así que en las primeras horas observan que ciertos genes con un papel importante en enfermedades neuropsiquiatrías por estar involucrados en los procesos de transmisión de impulsos eléctricos empiezan a sufrir mayor degradación en las primeras horas, siendo estos sus primeros resultados observados tanto en el tejido cerebral sano como en los tejidos que pertenecían a personas con distintas patologías como Alzheimer, autismo y esquizofrenia.
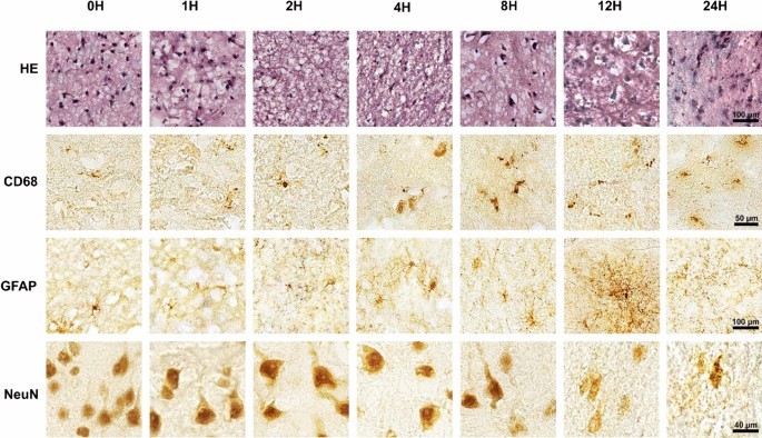
Realizan el estudio histopatológico (tinción con hematoxilina y eosina) y se obtienen que: las NeuN (neuronas): se fueron degradando lentamente entre 0-2horas, y entre la 4 y 8 hora existe una reducción de la tinción nuclear, lo que demuestra el deterioro paulatino con el paso de las horas, mientras que la microglía (CD68) y los astrocitos (GFPA) entre la 4 y 12 hora se activan y se mantienen incluso hasta las 24 horas, como vemos en la imagen:

Como conclusión de la investigación y estudio histopatológico se evidencia que con el transcurso de las horas los núcleos de las neuronas van desapareciendo de forma progresiva, sin embargo, de forma inversa las células de la microglía y astroglía se mantienen activos y estables hasta por más 12 horas post mortem a pesar de que el tejido cerebral ya no es funcionante.
Karen E. Tapia Z.
Miembro Activo CEN
Referencia:
- Dachet F, Brown JB, Valyi-Nagy T, Narayan KD, Serafini A, Boley N, et al. Selective time-dependent changes in activity and cell-specific gene expression in human postmortem brain. Sci Rep. 23 de marzo de 2021;11(1):6078
- La expresión de ciertos genes aumenta tras la muerte [Internet]. Investigación y Ciencia. [citado 10 de diciembre de 2021]. Disponible en: https://www.investigacionyciencia.es/noticias/la-expresin-de-ciertos-genes-aumenta-tras-la-muerte-19710
- Sevilla D de. Genes «zombis»: Las células activas del cerebro después de la muerte [Internet]. Diario de Sevilla. 2021 [citado 10 de diciembre de 2021]. Disponible en: https://www.diariodesevilla.es/salud/investigacion-tecnologia/celulas-activas-cerebro-muerte_0_1594941495.html